“10年了,天天吃降压药血压也稳不住,还总觉得没劲儿,现在不用吃药血压也正常了,浑身都轻快了!”近日,来自驻马店市上蔡县的患者王先生(化名),在漯河市中心医院高血压科激动地说。这位被高血压困扰10年的患者,经多学科协作精准诊疗,随访至今血压稳定,低钾症状也未再出现。
10年顽疾反复 跨市求医寻根
10年前,42岁的王先生在体检时发现血压升高,当时测值155/100mmHg,因无明显头晕、头痛等不适,并未重视。此后多年,血压时高时低,最高血压210/120mmHg,他服用“硝苯地平缓释片、替米沙坦”等药物,效果差,而且从未系统检查。
听闻漯河市中心医院在高血压精准诊疗方面经验丰富,今年6月,王先生专程从驻马店市上蔡县赶来就诊。高血压科团队详细问诊后,发现其血压升高与低钾症状同时存在,高度怀疑“原发性醛固酮增多症”——这是一种因肾上腺异常分泌醛固酮导致的继发性高血压,也是可治愈的高血压类型之一。
精准定位病因 AVS技术锁定“罪魁祸首”
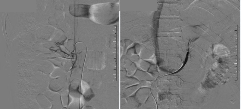
为明确诊断,高血压科立即启动精准检查方案。初步检查显示,王先生肾上腺左侧腺瘤,醛固酮定量(立) 36.152ng/dL,肾素定量(立) 0.919ng/L,醛固酮/肾素(立) 39.338,远超正常阈值,经盐水符负荷实验确诊原发性醛固酮增多症。要确定醛固酮的异常分泌来源,肾上腺静脉取血(AVS)是“金标准”。医院介入科刘要先主任、韩冰医生团队接手此项关键检查,在局部麻醉下,通过微创技术穿刺股静脉,将导管精准送入双侧肾上腺静脉,抽取血液样本检测醛固酮水平。结果明确为“左侧肾上腺优势分泌”——这意味着左侧肾上腺存在异常腺瘤,正是导致血压升高和低钾的“元凶”。
多学科协作 腹腔镜手术根治顽疾
病因明确后,高血压科迅速联合泌尿外科进行多学科会诊。泌尿外科柳其中主任、张跃曦医生团队仔细分析患者病情,结合影像学检查(提示左侧肾上腺有一直径约1.5cm腺瘤),认为手术切除腺瘤是根治关键,最终确定实施“腹腔镜下左侧肾上腺腺瘤切除术”。 随后,柳其中主任与张跃曦医生密切配合,在腹腔镜下精准分离肾上腺组织,避开周围血管和神经,完整切除腺瘤。整个手术创伤小、出血少,术后王先生返回病房“。
停药随访稳如“钟” 继发性高血压可治愈
出院后的第3天,王先生不用服用降压药,血压完全正常。两周之后,王先生复查时血压125/75mmHg,血钾、醛固酮各项指标均正常。近日随访显示,其血压始终维持120/70mmHg左右,低钾症状未再出现“。

王先生的案例再次证明,继发性高血压并非‘终身病’,精准定位病因是治愈的关键。”漯河市中心医院高血压科主任谢桥涛表示,原发性醛固酮增多症是常见的继发性高血压类型,患者常表现为血压难控、反复低钾,若未及时明确病因,盲目服药不仅效果差,还可能增加心脑血管基本的患病风险延误病情。作为省高血压防治中心“漯河中心”,漯河市中心医院高血压科联合介入科、泌尿外科等多学科团队,依托AVS、腹腔镜等先进技术,已累计诊断并治愈原发性醛固酮增多症等继发性高血压患者3000余例。“对于年轻发病、血压难控、伴随低钾等特殊症状的高血压患者,建议尽早到专科门诊排查,通过精准诊疗摆脱‘药罐子’。”谢桥涛主任提醒。
以下情况需警惕继发性高血压:
1.年龄<40岁的高血压2级患者或未成年高血压患者;
2.此前血压长期稳定的患者血压急性升高;
3.难治性高血压;
4.高血压3级或高血压急症患者;
5.早发靶器官损害;
6.临床特征或辅助检查结果提示内分泌性原因或慢性肾脏病;
7.可疑OSAHS(阻塞性睡眠呼吸暂停低通气综合征);
8.临床表现可疑嗜铬或有嗜铬家族史。