近日,漯河市中心医院成功为一名同时患有冠心病和颅内动脉瘤的患者实施了创新性的微创介入治疗方案。该案例是医院落实漯河市《便民就医强能力七项举措实施方案》,提升微创技术服务能力、优化多学科诊疗模式(MDT)的典型实践。
据悉,该患者因背部疼痛入住漯河市中心医院心血管内科。入院后,经冠状动脉CT血管成像(CTA)及头颅磁共振血管成像(MRA)等检查,初步诊断为冠状动脉粥样硬化性心脏病,并高度怀疑存在颅内动脉瘤。明确诊断需分别进行冠状动脉造影和脑血管造影。
传统上,这两项检查需在不同导管室、由不同科室医生操作,患者需接受桡动脉和股动脉两次穿刺,增加了痛苦与风险。为提升患者就医体验,心血管内科与介入科专家团队经充分评估和与患者家属沟通后,决定采用创新的一站式手术方案:在同一手术台、经股动脉单一路径,一次性完成两项血管造影检查。检查结果最终明确患者存在左侧颈内动脉眼段动脉瘤及冠状动脉轻中度狭窄。冠心病问题通过规范的二级预防药物进行治疗和随访管理。
颅内动脉瘤因其破裂风险高、后果严重,常被喻为颅内的“不定时炸弹”,治疗方案的选择至关重要。心血管内科立即启动多学科联合会诊(MDT)。神经内科、神经外科、介入科及麻醉科等多学科专家共同参与,对患者病情进行全面评估和风险研判。综合考量患者具体情况后,MDT团队最终决定由介入科团队为其实施微创介入手术——密网支架置入术治疗颅内动脉瘤。
介入科团队在仔细研究影像资料、进行详尽的术前讨论并与家属充分沟通后,制定了周密的手术方案。在麻醉科的密切配合与保障下,手术团队成功为患者实施了微创介入手术。术后影像显示:动脉瘤内造影剂滞留(预示血流隔绝效果良好),支架内血流通畅,支架精细显影并与载瘤血管壁贴合良好。术后患者在神经内科医护团队的精心治疗和护理下顺利康复出院。
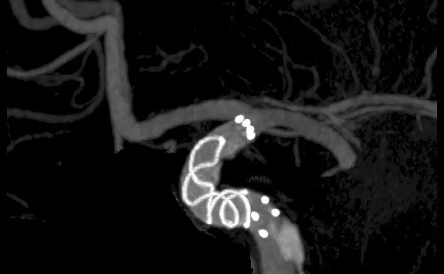
动脉瘤密网支架治疗后显示动脉瘤内造影剂滞留,支架内血流通畅

密网支架精细显影,可见支架完全覆盖动脉瘤并与血管壁贴合良好
本例患者的成功救治,得益于漯河市推行的“便民就医强能力”政策指引,特别是其中“提升微创技术服务能力”和“建立以微创介入中心为基础的多学科诊疗模式”的具体要求。漯河市中心医院高度重视微创介入中心建设,该中心有效整合了各科室手术资源,优化了急危重症救治流程,缩短了响应时间,打造了高效救治通道。中心根据患者个体化病情需要,组织相关学科联合制定最优治疗方案,提供一站式医疗服务,显著缩短了患者住院周期,提升了就医效率和体验。
漯河市中心医院表示,将继续以微创介入中心建设为契机,秉持服务患者的初心,运用专业技术和先进设备,持续为人民群众提供更高质量、更有效、更便捷、更贴心的医疗服务,为推进“健康漯河”建设贡献力量。