打造豫中南地区现代化区域医疗中心

您的位置 :首页 > 新闻中心 > 健康科普

「科普」高温天警惕“热中风”!46岁快递员误当中暑,竟是脑梗死!

来自: 神内三 樊荣荣 时间:2025-07-15 点击率:

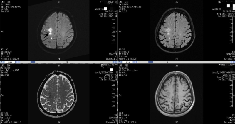
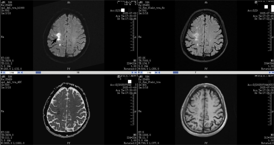
炎炎夏日,热浪滚滚,本周,河南多地天气预告气温将达40℃以上的高温,不仅让人体感不适,还可能成为健康的“隐形杀手”。近期一位46岁快递员连续配送快递5小时候后出现头痛、恶心,误以为中暑,饮用藿香正气水并休息2小时无缓解,头痛加剧并出现左侧肢体无力,由同事送至漯河市中心医院急救中心,确诊为脑梗死,因就诊及时,并未造成严重后果。

许多人知道要防中暑,但很少有人意识到——高温天气下,脑卒中的风险也在悄然升高!

脑梗死头核磁病例

Part.01高温为何会诱发脑卒中?

脑卒中(俗称“中风”)分为缺血性脑卒中(脑梗)和出血性脑卒中(脑出血),而高温天气可通过多种机制增加其发生风险:  

1. 血液黏稠度增加。 高温出汗多,若不及时补水,血液浓缩,容易形成血栓,堵塞脑血管,引发脑梗死。  

2. 血压波动剧烈。高温血管扩张→血压短暂下降→机体反射性升高血压→增加血管压力。  突然进入空调房→血管急剧收缩→血压飙升→易诱发脑出血。  

3. 心脏负担加重。高温下心跳加快,心脏负荷增大,若本身有房颤、动脉硬化等问题,血栓脱落堵塞脑血管的风险上升。  

4. 电解质紊乱。大量出汗导致钠、钾流失,影响神经和心血管功能,可能诱发脑卒中。  

Part.02哪些人群要格外警惕?

1、高血压、糖尿病、高血脂患者(血管条件差,更易受高温影响)  

2、中老年人(体温调节能力下降,对脱水不敏感)  

3、有心脑血管病史或家族史者  

4、户外工作者或长期暴露于高温环境者

Part.03高温天如何预防脑卒中?

1. 科学补水,避免血液黏稠。少量多次饮水,不要等口渴才喝(每天至少1500-2000ml)。  避免豪饮冰水,以免刺激血管收缩。  适量补充电解质(如淡盐水、含钾的椰子水等)。  

2. 合理降温,避免骤冷骤热。空调温度别太低(建议26℃左右),避免直吹。  从户外进入室内时,先在阴凉处适应几分钟,避免血管剧烈收缩。  

3. 避免高温时段外出。上午10点至下午4点尽量待在阴凉处。  必须外出时,戴遮阳帽、穿浅色透气衣物,随身携带水。 

4. 监测血压,规律用药。高血压患者夏季血压可能波动,切勿自行停药。  定期测量血压,如有头晕、头痛、视物模糊等症状,及时就医。  

5. 识别脑卒中早期信号(FAST原则)  

F(Face):面部不对称,微笑时嘴角歪斜。  

A(Arm):手臂无力,抬起时一侧下垂。  

S(Speech):言语含糊,表达困难。  

T(Time):立即拨打120,争取黄金救治时间(脑梗溶栓窗仅4.5小时)。  

Part.04高温天突发脑卒中怎么办?

1. 立即拨打急救电话,切勿拖延!  

2. 让患者平卧,头偏向一侧(防止呕吐窒息)。  

3. 不要喂水或药物,避免误吸。  

4. 保持通风,避免继续高温暴露。  

高温不仅是“中暑”的诱因,更是脑卒中的“隐形推手”。尤其是三高人群和中老年人,更要做好防暑降温、科学补水、规律监测,才能平安度过炎夏!

您可能还要了解这些
预约挂号 门诊出诊 特色医疗 检验查询 病案复印 微信公众号 微博 返回顶部