近日,漯河市中心医院肝胆外科成功为患者周某(化名)实施了一例极具挑战性的肝内深部复杂肿瘤切除术。该肿瘤位置刁钻,紧邻下腔静脉、门静脉等腹腔重要血管,手术空间极其狭小,操作稍有不慎即可能损伤血管或关键组织。
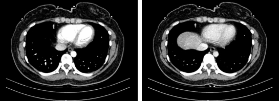
(术前CT定位评估)
周某是一位二十多岁的年轻女性。原本开朗的她近期因体检发现肝内深部肿物而忧心忡忡,为求进一步诊治辗转来到我院肝胆外科。影像学检查确认其肝脏深部存在肿瘤。若将正常肝脏比作桃子,该肿瘤恰似深藏于桃肉核心的“桃核”,且与人体腹腔内最大的血管关系密切。若放任肿瘤生长,终将压迫血管引发危及生命的并发症。
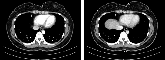
面对患者及家属的深切忧虑,以韩彦华主任医师及王玮副主任医师为核心的肝胆外科团队迎难而上。术前,团队借助先进的3D可视化成像技术,对肿瘤位置、大小及其与周边血管的立体关系进行了精确“测绘”,制定了周密的手术预案。术中,主刀医生王玮凭借精湛的显微外科技术和术中超声实时导航,在错综复杂的“血管丛林”中精准辨识、精细游离,如同进行一场精密的“生命拆弹”。麻醉团队全程护航,严密监控生命体征,为手术安全提供了坚实保障。

基于CT影像的3D重建技术
整个手术过程紧张有序、如履薄冰。在团队高度默契的协作下,历经数小时,最终成功将肿瘤完整、精准切除,最大程度保护了正常肝组织及重要血管结构。术后病理证实为局灶性结节性增生(FNH)。这是一种相对少见的良性肿瘤样病变,临床诊断存在难度。虽无恶变倾向,但如周某的病例所示,肿瘤生长可能导致压迫重要血管、神经或自发出血破裂等危险。
“手术前非常害怕,没想到这么复杂的手术,术后恢复比预想的顺利太多了!”康复中的周某感慨道。在医护人员的精心治疗与护理下,她恢复迅速,目前已顺利出院,定期随访情况良好。
此例高难度手术的成功,不仅是我院肝胆外科顶尖技术水平与多学科协作能力的又一次有力证明,更深刻诠释了我们“攻坚克难,守护生命”的坚定信念。面对复杂疑难的肝胆疾病,我院团队将持续精进医术、融合先进理念,为守护患者生命健康不懈努力!