一、什么是子宫动静脉瘘?
子宫动静脉瘘是指子宫动脉与静脉之间出现异常的直接交通,导致动脉血液直接流入静脉。该疾病可分为先天性(较为罕见)与获得性(临床多见)两类。获得性子宫动静脉瘘多与流产、刮宫、手术分娩、感染或肿瘤等因素有关,导致创伤的动脉分支与肌层静脉之间存在动静脉瘘。
二、临床表现
患者最常见的症状为月经过多或异常阴道出血。其他可能伴随的症状包括下腹痛、髋部疼痛、反复自然流产或不孕等。部分患者在妇科检查时可在宫旁区域触及搏动感或血流震颤感。
三、影像学诊断价值
磁共振成像(MRI)能清晰显示子宫及其周围组织的解剖结构,有助于评估异常血管的走行、范围及其与邻近器官的关系,为临床诊断与治疗规划提供重要依据。




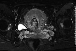
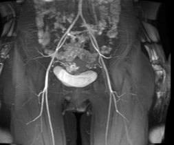
(子宫动静脉瘘MRI影像示意图)
典型MRI表现包括:
■ 子宫动静脉瘘MR-T1WI和T2WI序列子宫肌层或宫旁组织中可见卷曲扩张的流空信号,表现为无信号或低信号区域,类似血管的“流空效应”,提示存在异常扩张的血管团;
■ 增强T1WI序列病变部位可见迂曲的血管强化影,显示粗大的动脉血管与引流静脉直接交通,且无连接两者的毛细血管网;
■ 部分患者伴随子宫体积增大,子宫肌层交界区可能破坏,出现锯齿状或不规则的血流相关信号,提示病变累及肌层;
■ MRI可清晰显示动静脉瘘与周围组织(如宫旁血管、膀胱、直肠等)的关系,帮助评估病变范围及是否侵犯邻近器官。
重要提示:本文内容仅为医学知识科普,不构成任何诊断或治疗建议。如有相关症状,请及时前往正规医疗机构就诊。文中信息基于公开医学资料整理,所引用图片仅为示意图,版权归原作者所有,不作商业用途。