饮酒是一种常见的生活习惯,但长期过量饮酒可能对健康造成多方面损害。研究表明,长期酗酒可导致包括心、脑、肝在内的多器官损伤。
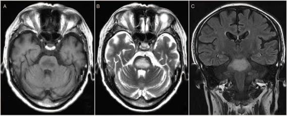
慢性酒精中毒性脑病,是指由于长期大量饮酒,酒精及其代谢产物对脑组织产生毒性作用,进而引发的慢性、进行性脑部疾病。其影像学表现具有多样性,典型改变可包括第三脑室和导水管周围对称性的异常信号以及乳头体萎缩等。
长期慢性酒精中毒可能引发以下几种类型的脑部病变,并在影像检查中有所呈现:
一、韦尼克脑病(Wernicke encephalopathy, WE)
该病主要由维生素B1(硫胺素)严重缺乏引起,长期酗酒导致的营养不良是常见原因,也可见于其他导致摄入不足或消耗过度的病理状态。临床常表现为精神意识障碍、眼球运动异常和行走不稳。早期诊断并及时补充维生素B1对改善病情至关重要。
影像表现(MRI):特征性表现为第三四脑室旁及导水管周围、乳头体、四叠体、丘脑等部位对称性长 T1 长 T2 异常信号影,T2-FLAIR 呈高信号,急性期可有强化。有些少见部位如小脑齿状核、桥脑被盖、红核、中脑顶盖、尾状核及大脑皮质也可见类似影像学改变,MRI 表现为病变部位对称性 T2WI 高信号影。


二、Marchiafava-Bignami病(Marchiafava-Bignami disease, MBD)
此病又称原发性胼胝体变性,是一种与慢性酒精中毒相关的罕见疾病,以胼胝体脱髓鞘和坏死为主要病理特征。临床上可分为急性、亚急性和慢性三种类型。急性起病者可迅速出现意识障碍、癫痫发作等严重症状;亚急性及慢性者多表现为言语障碍、肌张力增高、痴呆等。慢性型常出现大脑半球连接功能障碍(分离综合征)。
影像表现:急性期后胼胝体异常信号逐渐消退。慢性期表现为胼胝体萎缩伴局灶性长T1、T2信号,可能反映了进行性脱髓鞘、局灶性坏死和囊变。MBD患者也可出现胼胝体外受累,以皮质下白质最为多见,其他部位包括小脑中脚、内囊、前联合以及皮层。


三、桥脑中央髓鞘溶解症(central pontine myelinolysis, CPM)
这是渗透性脱髓鞘综合征的一种类型,常见于快速纠正低钠血症及慢性酒精中毒患者。CPM是脑桥基底部的急性髓鞘溶解性病变,组织病理学上是一种非炎症性脱髓鞘,而神经元和相关轴突相对保留,伴少突胶质细胞数量减少和巨噬细胞浸润。
影像表现(MRI):桥脑基底部长T1、长T2信号,T2Flair高信号,其形态可呈“蝙蝠翅”征、“三叉戟”征或“猪鼻”征。


四、桥脑外髓鞘溶解症(extrapontine myelinolysis, EPM)
此为中枢髓鞘溶解症的一种临床类型,以脑桥之外的髓鞘溶解为特点,是一种临床少见疾病,对其缺乏充分的认识。诱导发生脑桥外髓鞘溶解症的危险因素除低钠血症(血钠<136mmol·L-1)外,酒精滥用、肝肾功能衰竭、营养不良等均可为其诱因。病变可广泛累及基底节区、丘脑、大脑皮质及皮质下白质等部位,其临床表现与影像学表现均缺乏特异性。
五、Korsakoff综合征
又称酒精性遗忘综合征,常由Wernicke脑病发展而来。典型的临床表现包括遗忘症、虚构、错构、认知功能障碍、定向障碍和人格改变。包括近事遗忘(顺、逆行性遗忘)、时间及空间定向障碍(尤以时间定向障碍为主)和虚构。明显而持久的记忆广度下降,包括近记忆极度丧失、时间判断障碍、错构及虚构。
重要提示: 本文为医学知识科普,内容仅供参考,不能替代专业医师的诊断意见。如有相关健康问题,请及时前往正规医疗机构就诊。文中涉及的影像图片仅为示意,其版权归原作者或相关机构所有,本处引用仅限于科普说明,无商业用途。请勿转载本文内容用于任何形式的商业宣传或推广。