张师傅肩膀疼痛数月,自行查阅网络信息后认为自己是“肩周炎”,并按照网上介绍的锻炼方法进行甩臂、爬墙等练习。然而,症状不仅没有缓解,反而加重,甚至出现抬臂困难。就医后,医生根据其症状建议进行了肩关节磁共振(MRI)检查。结果显示,张师傅的情况并非肩周炎,而是肩袖撕裂。
肩膀疼痛并不等同于肩周炎。
“肩周炎”一词常被广泛用于指代中老年人群的肩部疼痛。但实际情况是,在50岁以上的肩痛患者中,肩袖损伤的发生比例高于典型的肩周炎。更重要的是,两者的处理原则存在差异。
❉ 肩周炎(又称冻结肩): 处理重点在于在专业指导下进行适度、科学的关节活动练习,以改善关节功能。
❉ 肩袖损伤: 处理重点则在于休息和避免加重损伤的活动。肌腱损伤如同磨损的绳索,继续进行“甩胳膊”、“爬墙”等可能加重负荷的动作,可能导致损伤进一步加剧。
为什么有时肩痛需要做MRI检查?X光或CT可以吗?
肩关节结构复杂,不仅包括骨骼,还涉及诸多韧带、肌腱、软骨等软组织。许多引起肩痛的病变恰恰发生在这些软组织。X光片主要用于观察骨骼情况,如骨折、骨质增生等,但对软组织的显示有限。CT检查对软组织的分辨能力也相对不足,难以清晰显示肌腱本身及其周围的水肿等情况。超声检查虽能较好显示软组织,但其结果对操作者经验有一定依赖性,在观察肥胖患者、深层撕裂或细微撕裂时可能存在局限。磁共振(MRI)检查能够较清晰地显示关节囊、肩袖肌腱、盂唇等软组织的情况,有助于评估是否存在损伤及其程度,这对于临床制定合适的处理方案具有参考意义。
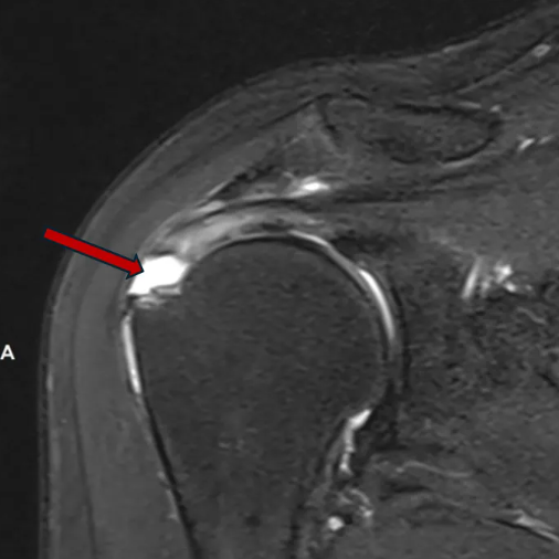
肩袖损伤在MRI图像上的表现
肩袖由冈上肌、冈下肌、肩胛下肌和小圆肌的肌腱共同构成,形似袖套包裹肱骨头。正常情况下,肌腱在MRI图像上呈现为均匀的低信号(黑色)。当发生损伤时,可能表现为肌腱增粗、连续性中断、信号异常,在压脂序列上信号增高(白色)。

图1-2.正常肌腱表现为黑色(橙色箭头所示)

冈上肌肌腱滑囊侧部分撕裂,伴滑囊、关节囊积液(紫色箭头所示)

冈上肌腱完全撕裂,肌腱挛缩(白色,深红色箭头所示)
进行MRI检查需要注意什么?
1.检查前需去除随身携带的所有金属物品,如手机、银行卡、首饰、带有金属扣或拉链的衣物等。
若体内有心脏起搏器、除颤器、某些类型的人工关节或金属植入物等,务必在检查前告知医务人员,由专业人员评估是否可行此项检查。
对于伴有肩部无力、夜间痛或特定动作诱发疼痛的肩痛,需警惕肩袖损伤的可能。在经过医生体格检查后,若需进一步明确肩袖等软组织的情况,肩关节MRI检查是一种常用的影像学评估手段。
免责声明
本文内容为医学知识科普,仅供参考,不构成任何具体的诊疗建议。个体病情存在差异,如有肩部不适,请及时前往正规医疗机构就诊,由专业医生进行诊断并制定适合您的治疗方案。